Instructions
Thank you for having chosen me to provide you with OJW. It is my fondest hope you will reach the goals you
chose by "dedicating passionately" to the OJW the number of months you elected when you completed the
Informed Consent. You may expect to lose 1.5-2 pounds each week, and even more if you exercise.
Keep in mind that above all your goal is to modify your eating behavior forever. In the best of all possible
worlds you achieve your weight goals and never regain the weight. In other cases you may achieve the weight
loss you desire and then regain some or all of it back, and in the worst case gain even more than when you
began your weight loss program.
For some losing weight control is an on again-off again lifetime process because the problem lies in some
deeply rooted psychological process underlying the need to overeat. It is my fondest hope that OJW will lead
you to the brink of discovery of the underlying causes of the desire to eat to excess.
Reminders
- R1. It is highly recommended to have your jaws wired properly, i.e., to have the lower jaw placed and wired in the "semi-mobile rest position called "Rothstein's OJW rest position"©, which allows the jaw to move 1.5 millimeters in all directions.
- R2. When wired properly your upper and lower teeth do not touch.
- R3. It is highly recommended to remain wired the entire 4-6 weeks and then remain unwired for 4-6 days to allow your joint to recover from any stiffening it may have suffered. METHODS AND INSTRUMENTS TO REMOVE THE WIRES
- R4. The jaws must be exercised for at least 5 days.
- R5. If the jaw joint feels stiff (pain on opening with 3 fingers inserted 1" into mouth) wiring should be left off 5 more days or until the jaw joint no longer feels stiff.
- R6. Have your teeth, gums and jaw joint examined for any possible problems that could be developing as result of the jaw wiring, ex. night grinding.
- R7. Always carry your wire cutter and be aware of other instruments (a fork) that could be useful to remove the wiring if an emergency suddenly developed.
- R8. The first 10 days may be very difficult so read A.T.'s story (OJW directory: item #2).
- R9. Partake of a liquid diet that supplies good nourishment but not more than 1100-1200 calories if you are female, and 1300-1400 calories if you are a male. Every superfluous pound you are now storing on your body contains 3000 calories ...go figure. Your body will now begin to convert them to fuel. TRACK YOUR DAILY CALORIC INTAKE*. If you do not know the number of calories of the standard portions of foods you customarily eat /snack reject it. At first you will be anxious, then it will become a habit without angst.
- R10. Use nutritional supplements like vitamins and minerals.
- R11. Expect to lose 1.5-2.0 pounds each week and even more if you exercise.
- R12. If a bracket breaks have an orthodontist replace it. However, you may temporarily wire two teeth to three teeth.
*NY Times, Thursday, February 26, 2009: Study Zeroes In on Calories, Not Diet for Loss ..."it does not matter if you are counting carbohydrates, protein or fat. All that matters is that you are counting something..." (calories). The findings appeared in the New England Journal of Medicine. (Dr. Frank M. Sacks) who reported the findings of the largest controlled study ever done on 800 adults who were assigned to one of four types of diets of about 1200 calories /day. After 2 years they has lost an average of 13 pounds at 6 months and maintained about 9 pounds of weight loss and two inch drop in waist size after two years. The average weight loss was modest. 15% of dieters lost more than 10% of their weight by the end of the study. After about a year many returned to at least some of their usual eating habits. The biggest governor of success is not the ingestion any combination of foods. Weight loss results solely from reducing the number of calories whether they be carbohydrates, protein or fat. Written by Tara Parker-Hope
If you will be having another healthcare provider rewire you:
- R1. OJW (Orthodontic Jaw Wiring) providers will be hard to find.
- R2. If you find another OJW provider who needs advice from me, have the provider call/email me at my office
- R3. "Certified" OJW providers are members of the DPOJW Assoc. (Dentist Providers of Orthodontic Jaw Wiring).
- R4. It is highly recommended that you unwire yourself if you are having pain or discomfort since OJW properly done does not cause pain at any time.
- R5. OJW limits the motions of the jaw joints as a result they may become stiff.
- R6. After OJW your next stop may well be at the bariatric surgeon's office.
- R7. Remove the wires without delay in the event of sickness accompanied by nausea and vomiting.
- R8. Alcohol suppresses your gag reflex making it easier to vomit. If stomach contents manage to get into your airway you are in danger of either choking or "drowning." Warning: AVOID ALCOHOL.
- R9. Look for excuses NOT to remove the wiring.
- R10. If you remove the wiring seek reasons to REWIRE as soon as possible.
- R11. Make sure the new provider makes contact with your primary health care provider.
- R12. Some who have been diligent in following the regime of a liquid diet, may encounter difficulty weaning themselves off the liquid diet and back to solid food. The expertise of a registered dietitian may facilitate the change back to solid food.
- R13. The brackets bonded to your teeth/gums will never harm them as long as you brush your teeth adequately. Last Reminder. The OJW bracket-wiring system will be removed at any time you wish on written request at no charge.
- R14. I have bonded three brackets on each side of the upper and lower teeth, i.e. 12 in total. If one becomes detached have it replaced by an orthodontist in the least possible delay. You may find you can still rewire yourself, nevertheless I urge you to have 12 brackets for the OJW system as I designed it. If a bracket breaks you will find spare ones in the KIT WE GAVE YOU. Email me the First, Last name and address of the three closest ORTHODONTISTS to where you live or work along. Provide me their telephone and email address and I will promptly contact them and arrange for the bracket to be rebonded. More than likely they will decline rewiring you. Some will rebond the bracket gratis others may charge.
Methods and Instruments to remove the wires used to hold the jaws apart in OJW:
The protocol for OJW requires that under ideal conditions the patients jaws remain wired apart in "Rothstein's
OJW position of rest" for 5 weeks and then the wires are removed for at least 5 days, and 3-5 days additional
if the jaw felt in the least bit stiff. During the 5 days the wires were off the patient is ordered to
exercise the jaws: using manual exercises or just talking, singing and chewing gum. In that way the joint if
impaired would fully recover.
In only one case out of 65 did any stiffness occur in any of my OJW patients. Read A.T.'s Story She left the
wires on for 12 weeks straight at the end of which time she was unable to place three fingers vertically in
her mouth. (This is the norm that dentists use to test the extent of mouth opening (see photo below). At the
end of the twelve weeks she was unable to open her mouth more than two fingers. She recovered full mobility in
a short time.
The three finger test: patient places his/her three fingers in his/her mouth as shown above.
In all cases the OJW patient is instructed to remove the wiring at least 5 days before returning to the OJW
provider's office. (S)he will check the patient's gums, teeth, and jaw mobility. If the jaws are have retained
their normal mobility in all directions (open and closed, right and left) the provider will clean the teeth
(inside and out) and rewire the jaws apart in "Rothstein's OJW position of rest"
All patients are provided with two instruments at the OJW appointment:
- 1. An instrument to twist (and untwist the wires). and
- 2. A wire cutter.
- 3. The third "instrument" they are informed of is a simple fork whose tines are not pointy sharp.
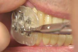
The pictures below demonstrate the use of these tools to untie/remove the ligature wires.
This instrument is used to untwist the ends that were created when the jaws were wired apart. One of the loose end is held and unwrapped off the bracket.
A close up showing the utility of a fork to forcibly cause the bracket to detach.
This is a nail and cuticle scissor. I had no problem cutting the wire.
If a situation were to arise that demanded instant removal of the wiring and the patient left their wire cutter behind, a fork inserted between the wire and the tooth would forcibly cause the bracket to detach immediately allowing the wire to be lifted off the other brackets.
I like this one the best of all. It supplants the wire nipper by far and away. This is the LA CROSS cuticle trimmer #75920.Costs $3.99. I tested this and it nipped the wire open with ease. It looks good and has multiple purposes.
Adedolapo E. Ayediran, DDS
Ted Rothstein, DDS, PhD
Specialist in Orthodontics for Adults and Children
Member American Association of Orthodontists
Founder DPOJW